В Клиническом госпитале на Яузе проводится обзорное обследование методами КТ и МРТ желудочно-кишечного тракта. МРТ и КТ желудочно-кишечного тракта выполняется и с контрастированием, и без использования контраста. Контрастирование при КТ проводится двумя способами — внутривенное введение и употребление контраста внутрь.
КТ и МРТ желудочно-кишечного тракта
Вы можете получить эту услугу бесплатно по полису ОМС, Звоните по телефону +7 (495) 126 57 79
Оглавление
Информацию из данного раздела нельзя использовать для самодиагностики и самолечения. В случае боли или иного обострения заболевания диагностические исследования должен назначить только лечащий врач. Для постановки диагноза и правильного назначения лечения следует обращаться к Вашему лечащему врачу.
- По показаниям выполняется прицельная диагностика определенного отдела самым информативным для него методом
- 20–40 минут составляет продолжительность каждого метода обследования
- Отличие КТ и МРТ состоит в различном воздействии на человеческий организм (при КТ используется рентгеновское облучение)
Что показывает КТ и МРТ желудочно-кишечного тракта?
МРТ ЖКТ показывает:
- структуру паренхиматозных органов;
- опухоли и полипы, их локализацию и характер, степень распространенности;
- лимфоузлы, метастазы в них;
- воспалительные заболевания желудка (язва);
- дефекты стенок пищеварительного тракта (язвы, полипы);
- инородные тела в ЖКТ;
- полостные образования (кисты и гематомы);
- скопления гноя и крови (абсцессы, гематомы) и свободной жидкости (желудочное кровотечение, перитонит);
- перфорацию стенки желудка/кишечника;
- эхинококкоз, цирроз печени и ее жировое перерождение;
- врожденные аномалии;
- спайки брюшной полости;
- состояние сфинктеров;
- патологию сосудов (атеросклероз);
- камни в желчном пузыре и желчных путях.
Преимуществом МРТ ЖКТ является отсутствие лучевой нагрузки при исследовании и диагностика заболевания (злокачественной опухоли) на ранней стадии. При МРТ мы получаем объемные изображения внутренних органов, отображающие их строение, взаиморасположение и кровоснабжение.
КТ ЖКТ показывает:
- состояние окружающих и прилежащих органов средостения;
- наличие инородных тел в пищеварительном тракте;
- детально — прилегающие костные структуры;
- при исследованиях с контрастом (внутрь) — состояние стенок полых органов — пищевода, желудка, кишечника, выявление пристеночных дефектов;
- при внутривенном контрастировании — сосудистую сеть новообразований;
- трехмерные модели сосудов, костей и плотных образований в желчевыводящих протоках.
Преимуществом КТ ЖКТ является высокая скорость исследования (3–5 минут).
КТ и МРТ исследования по уровням ЖКТ
Обследование пищеварительного тракта возможно на всем его протяжении. В него входят следующие процедуры.
Лучевая диагностика полости рта и ротоглотки
- МРТ головы — МРТ лицевой части черепа в рамках (показывает полость рта и ротоглотку);
Обследование пищевода
- МРТ шейного отдела позвоночника (пищевод на уровне шейных позвонков);
- МРТ мягких тканей шеи и щитовидной железы (мягкие ткани шеи).
- КТ органов грудной клетки:
- состояние позвоночника и ребер;
- пищевод на уровне грудной клетки (исследование с принятым внутрь контрастом);
- органы средостения.
Исследование органов брюшной полости
-
- МРТ органов брюшной полости (заболевания печени, желчного пузыря, поджелудочной железы, селезенки, сосудов брюшной полости, лимфоузлов). Применение контраста позволяет выявить новообразования, исходящие из желудочно-кишечного тракта или прилежащие к нему.
Для исследования кишечника более информативным является проведение:
- КТ органов брюшной полости с контрастированием (приём контраста через рот или/и внутривенно);
- виртуальная колоноскопия (КТ).
Виртуальная колоноскопия — проводится с двойным контрастированием (пероральный прием контраста и его внутривенное введение при необходимости). Осмотр толстой кишки до самых нижних отделов малого таза, включая прямую кишку, методом компьютерной томографии позволяет определить:
- полипы и иные объемные опухоли стенки кишечника;
- неспецифический язвенный колит;
- дивертикулы;
- окружающие толстую кишку структуры;
- опухоли и метастазы в лимфоузлы толстого кишечника.
По сравнению с обычной колоноскопией (эндоскопическим исследованием прямой и толстой кишки), виртуальная обладает следующими преимуществами:
- отсутствие риска перфорации кишечной стенки эндоскопом, что особенно важно при наличии истончения, изъязвления кишечной стенки (болезнь Крона, неспецифический язвенный колит);
- возможность осмотра кишки при ее сужении (стриктурой — рубцом, опухолью), когда затруднительно ввести эндоскоп в полость кишки.

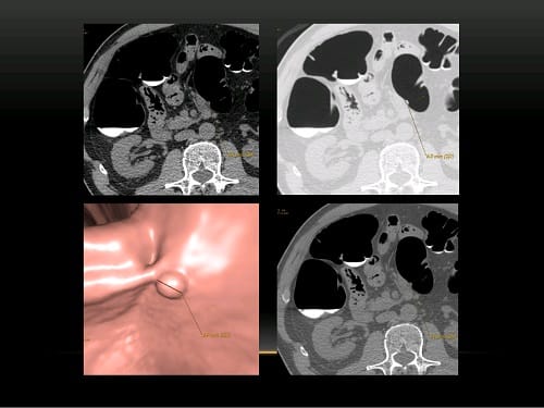
Полип кишечника на широком основании, выявленный на виртуальной (КТ) колоноскопии. Исследование выполнено врачом лучевой диагностики КГНЯ Петровой М.А.
на прием
Запишитесь к профессионалам прямо сейчас!
Проведение исследования
Пациента просят лечь на спину и вытянуть руки/ноги, не перекрещивая их. Процедурная медсестра устанавливает в локтевую вену катетер, по которому вводится контраст.
При венографии специальный венозный катетер устанавливается под местной анестезией через небольшой надрез в вену стопы.
Во время распределения контраста по венам может ощущаться холод или жар. Это нормальная реакция. Болевых ощущений быть не должно. При необходимости пациенту дают выпить или вкалывают препарат, замедляющий сердцебиение (до 65 ударов в минуту).
Пациента размещают в кольцо томографа. Во время процедуры следуют выполнять все необходимые команды специалиста. Исследование продолжается не более 30 минут.
Полученное трехмерное изображение со сканера передается на монитор. По полученным сканам с последующим построением 3D-модели специалист осуществляет расшифровку и подготавливает заключение.
Стоимость услуг
Цены на услуги Вы можете посмотреть в прайсе или уточнить по телефону, указанному на сайте.
Работа по страховому полису ОМС
Наши опытные специалисты оказывают все виды услуг и оперативных вмешательств — лечение возможно провести в рамках страхового полиса ОМС и на платной основе для жителей Москвы, МО и жителей регионов РФ.
Не можете найти назначенную вам услугу/операцию в списке для ее получения по ОМС — уточните информацию у наших операторов по телефону
+7 (495) 126 57 79.
Источники
- А. В. Араблинский — «Уточненная диагностика опухолей поджелудочной железы с помощью компьютерной и магнитно-резонансной томографии (лекция)» — «Медицинская визуализация», 2010, №4 — С. 13-24
- Horsthuis K, Bipat S, Bennink RJ, Stoker J (2008) Inflammatory bowel disease diagnosed with US, MR, scintigraphy, and CT: meta-analysis of prospective studies. Radiology 247:64–79
- ECCO-ESGAR-ESP-IBUS Guideline on Diagnostics and Monitoring of Patients with IBD: Part 1 — J Crohn’s Colitis, 2025.
Цены на услуги
отзыв
Оставьте свой отзыв для улучшения качества нашего сервиса!